Post MI VSD
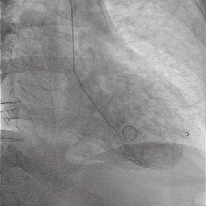
60M presenting to peripheral hospital for week of atypical chest discomfort. ECG as follows. Troponin elevated. Transferred to cath lab for ongoing symptoms.
60M presenting to peripheral hospital for week of atypical chest discomfort. ECG as follows. Troponin elevated. Transferred to cath lab for ongoing symptoms.

