Introduction
- Coronary abnormalities are among the most common congenital cardiac anomalies with many of them being benign (prevalence ranging from 0.1 – 1%)
- Anomalous aortic origin of coronary artery (AAOCA) are associated with ischemia, ventricular arrhythmias, and sudden cardiac death (SCD), especially with exercise
- Multiple mechanisms are hypothesized including external compression by great vessels, ostial stenosis and vasospasm
- Overall goal is to prevent SCD by diagnosing patient with clinical concern and offering surgical management to those that are high risk
Types of AAOCA
General Approach:
- Left coronary arteries (LMCA, LAD, Circumflex) arising from the right side (AAOLCA) or RCA arising from the left side (AAORCA)
- Varying course (ie. anterior to PA, posterior to aorta, between PA and aorta, and intracardiac) to return back to supply corresponding territory
- Left main coronary artery (LMCA) arises from right sinus of Valsalva, either directly from right coronary artery or as a separate ostia
- LMCA course anterior to pulmonary artery (anterior) (c)
- LMCA course posterior to aorta (posterior) (d)
- LMCA course intramyocardial (subpulmonic/transeptal) (e)
- LMCA course between aorta and pulmonary artery (interarterial) (f)
- Left anterior descending coronary or left circumflex coronary artery may originate from the right sinus alone
- Right coronary artery (RCA) arises from left sinus of Valsalva, either from LMCA or as a separate ostia
- RCA courses anterior to pulmonary artery (anterior)
- RCA courses posterior to aorta (posterior) (b)
- RCA courses between aorta and pulmonary artery (interarterial) (g)
- Single LMCA arises from left sinus of Valsalva and bifurcates into the left anterior descending coronary and left circumflex coronary arteries. The left circumflex coronary artery crosses the crux and continues as the RCA.
- Single RCA arises from right sinus, crosses crux, continues as left anterior descending coronary and left circumflex coronary arteries
ATS 2017: Expert consensus guidelines: Anomalous aortic origin of a coronary artery
Diagnosis
- Varying ways of presentation
- Commonly incidental finding on TTE/CT/MR
- Symptoms: chest pain or syncope, often with exercise
- Aborted SCD or SCD
- 2018 AHA Congenital guideline recommends CTA, CMR or invasive coronary angiography for diagnosis.
- CT preferred given axial resolution
- Invasive coronary angiography recommended if concern about stenosis
- 2017 ATS AAOCA guideline recommends initial screening with TTE and then CTA or MRA to confirm diagnosis
- 2017 ATS AAOCA guideline recommends exercise testing with nuclear medicine or echocardiography in patients without ischemic chest pain or aborted SCD
Management
|
|
|
- Right coronary from left sinus, with no ischemia (symptoms or exercise stress testing) may participate in competitive sports
- Surgical options depends on purported mechanism of ischemia
- Techniques:
- Unroofing
- Reimplantation or ostial reconstruction
- Coronary artery bypass grafting (if previous method has failed or athersclerotic lesions)
- Techniques:
- PCI may be considered in adults
- Not enough evidence to recommend beta blockers
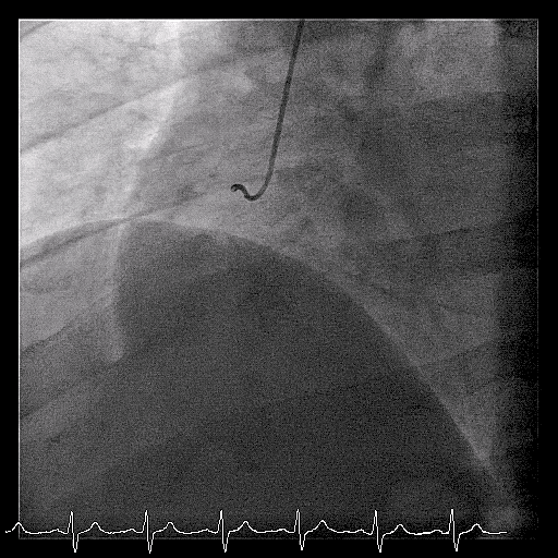
Example 1: Anomalous Left Main (Subpulmonic/Transeptal)
Note the long left main coming off the right coronary artery. Straight trajectory of the left coronary from right to left is typical of interarterial course. CT suspected subpulmonic/transeptal course and OR confirmed LM travelling between the aorta and pulmonary artery with an intramural course.
Example 2: Anomalous Left Main (Anterior)
Note the left main looping anterior, around the pulmonary artery. Generally a more benign variant.
Example 2: Anomalous Left Main (Posterior)
Further Reading
- 2018 AHA/ACC Guideline for the Management of Adults With Congenital Heart Disease
- 2017 ATS Expert consensus guidelines: Anomalous aortic origin of a coronary artery
- Lorber R, Srivastava S, Wilder TJ, et al. Anomalous Aortic Origin of Coronary Arteries in the Young JACC: Cardiovascular Imaging. 2015; 8(11):1239-1249.
- British Cardiovascular Society: Sudden Cardiac Death and Anomalous, Aortic Origin, Coronary Arteries.





















